15 de octubre: Día Mundial del lavado de manos
Si hay algo que aprendemos desde pequeños, eso es la importancia del correcto…
Mercy ships, el proyecto de la esperanza
Transformar y mejorar la vida de las personas, esa es una de las máximas del…
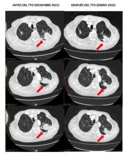
Radioterapia, qué es y cómo se usa en el tratamiento contra el cáncer
Durante años, la quimio y la radioterapia, también la inmunoterapia, han…
Cómo influye la higiene en nuestra salud
Parece demasiado obvio, quizá mucho más desde el comienzo de la pandemia, que…
Vitamina C para aliviar los efectos secundarios del tratamiento contra el cáncer
Uno de los principales objetivos de INMOA no es solo tratar y curar los…
Conoce a Pablo Balbona y sus secretos sobre una buena alimentación en el paciente oncoo
Maestro pastelero y chef con una trayectoria de más de 30 años. Pablo es el…
17 de mayo, desayuno de prensa en INMOA
El pasado viernes 17 tuvimos el placer de recibir en las instalaciones de…
El papel tan fundamental de la alimentación en nuestra salud
Pequeños gestos de nuestro día a día pueden ayudar a cuidar nuestra salud. La…
Dra. Elisabeth Arrojo: “INMOA se funda porque estoy convencida de que la Oncothermia es un tratamiento que funciona”
Es oír la palabra cáncer y todo comienza a nublarse. Y es que es posible que…
La actriz Cristina Medina opina sobre algunos de nuestros tratamientos
La actriz de 51 años Cristina Medina publicó un video en su Instagram donde…












